Photo Album / Radiograph

Sewell Animal Hospital

638 S Main
McAlester, OK 74501

(918)423-5100

www.sewellanimalhospital.com

Surgeries and Medical Cases **
Goto the first in the collectionGoto the previous in the collectionGoto the next in the collectionGoto the last in the collection

Radiograph

Radiograph

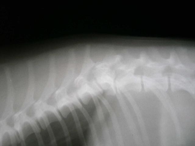
Fractured Spine of Dog

This dog was hit by a car and fractured his spine. Luckily, he has made a recovery and is able to walk thanks to the attentive and devoted care of his owners.

back to the photo album Goto the first in the collectionGoto the previous in the collectionGoto the next in the collectionGoto the last in the collection